Studio Dentistico Lagna · Via del Ciclamino 78 - 73100 - Galatina (LE)- Tel: 0836/561077 · Cell: 349/0077889

captcha

Persone Vere con Risultati Reali


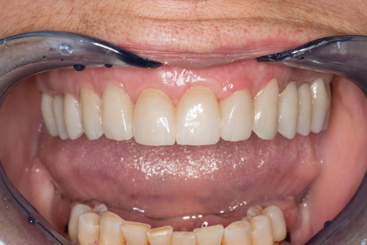
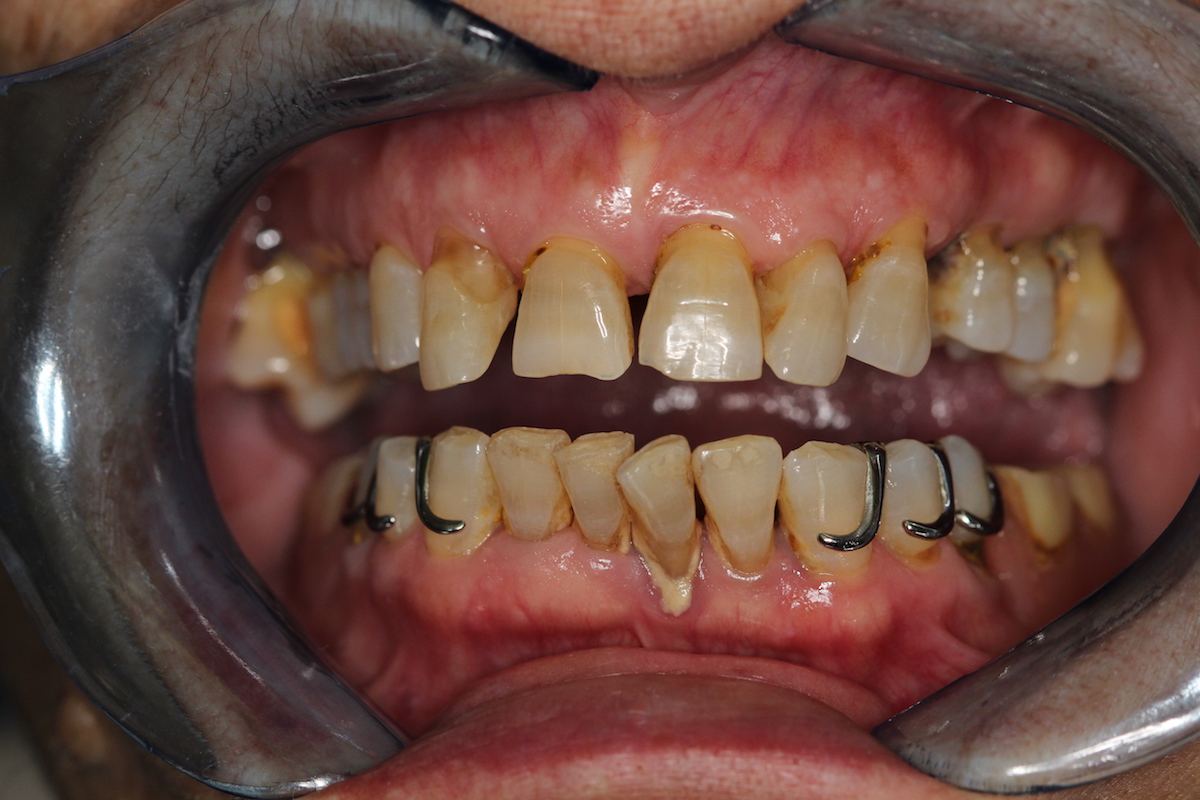
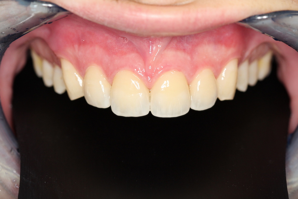
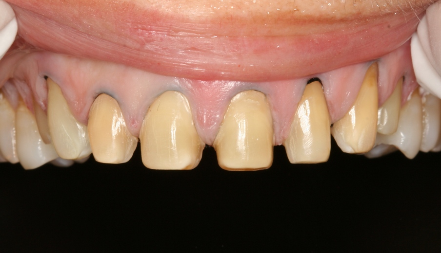
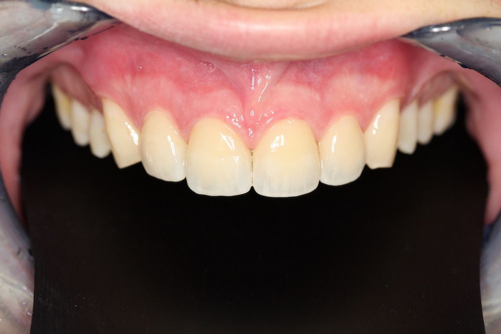
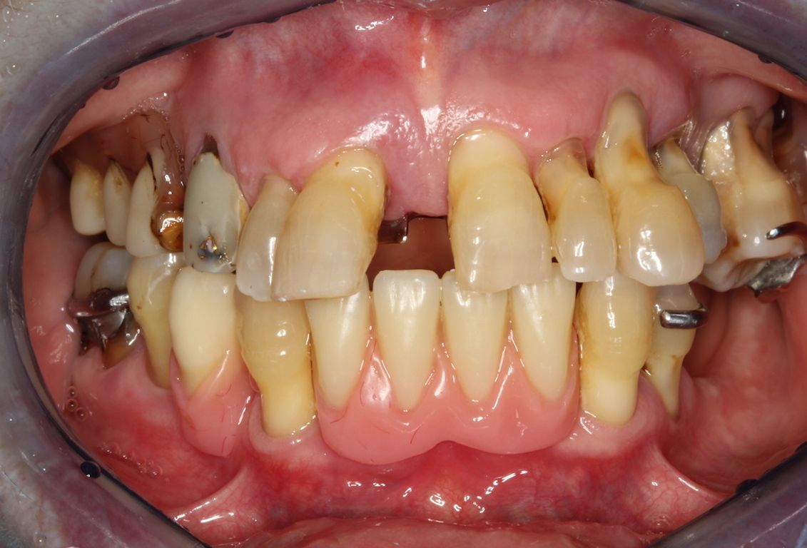
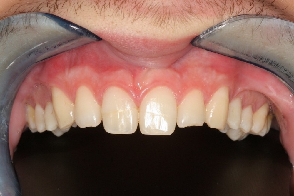
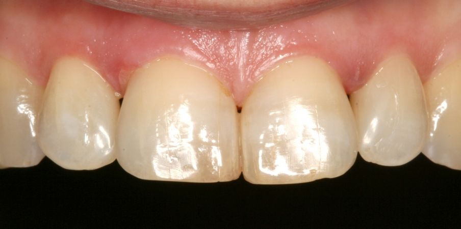
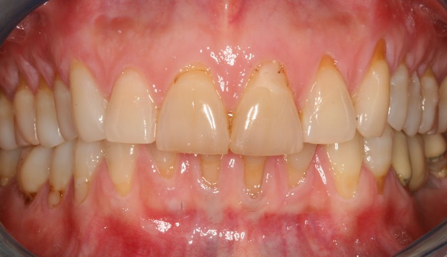
Riabilitazione totale dell'arcata superiore. Denti usurati, diastemi, carie, slivellamento del sorriso. Faccette in disilicato anteriori e ponti in zirconio ceramica posteriori

prima

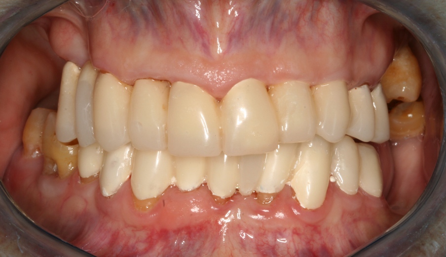
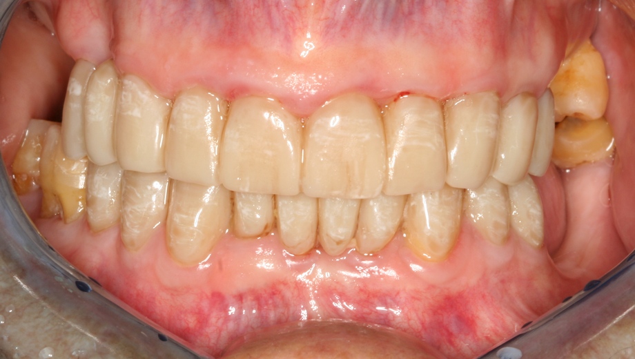
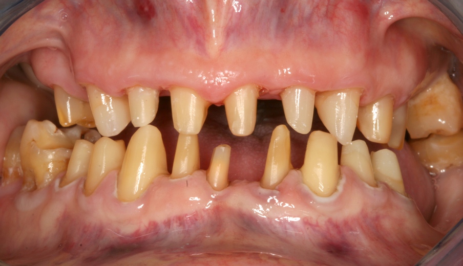
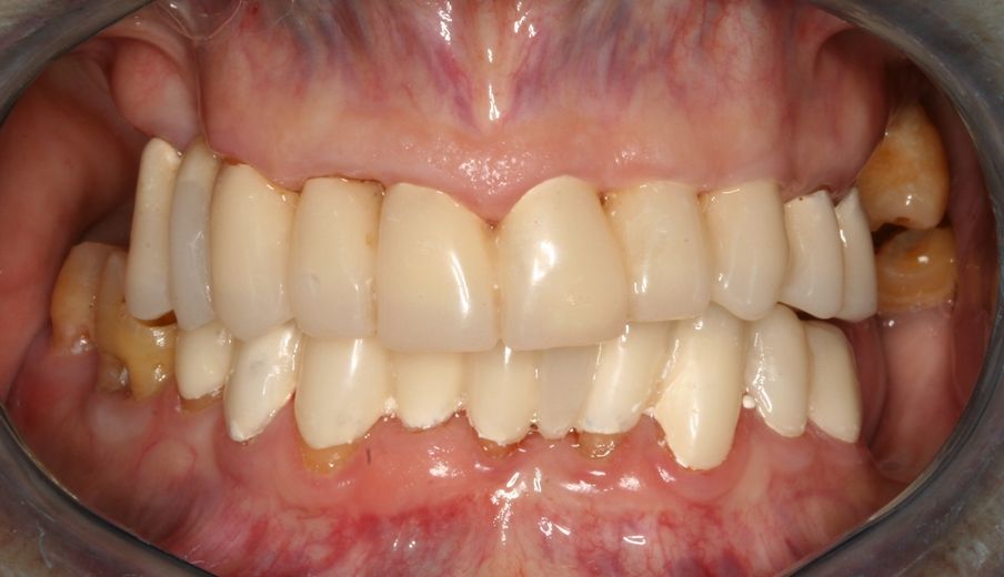
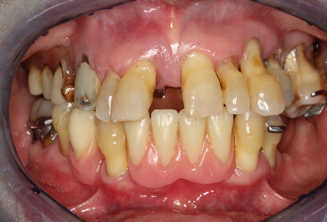
Riabilitazione full arch su impianti. Estrazione degli elementi dentari compromessi e inserimento di quattro impianti in chirurgia computer guidata. Provvisorio fisso immediato 

prima
prima
prima

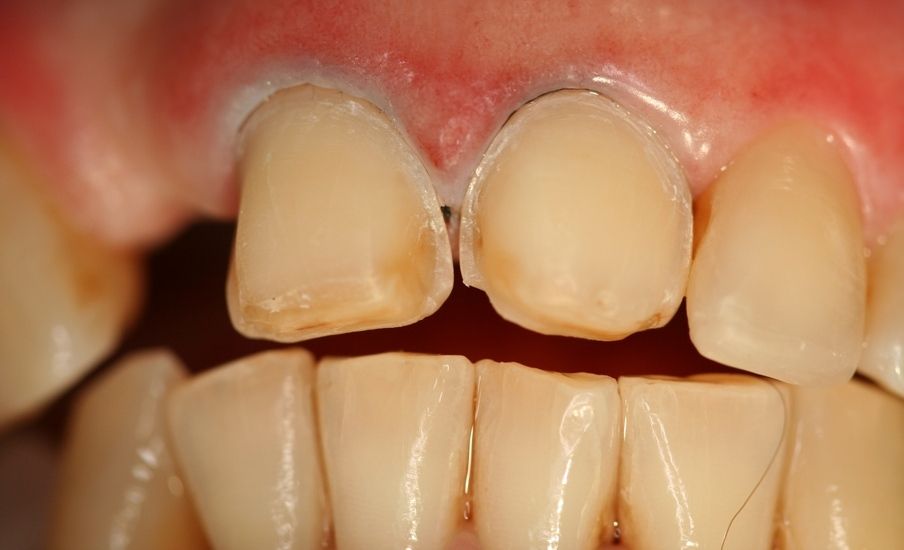
Giovane paziente con trauma degli incisivi in tenera età. Si notano gli incisivi centrali spezzati e reincollati più volte negli anni. Riabilitazione con quattro faccette con modifica della forma dei denti e della linea del sorriso

prima

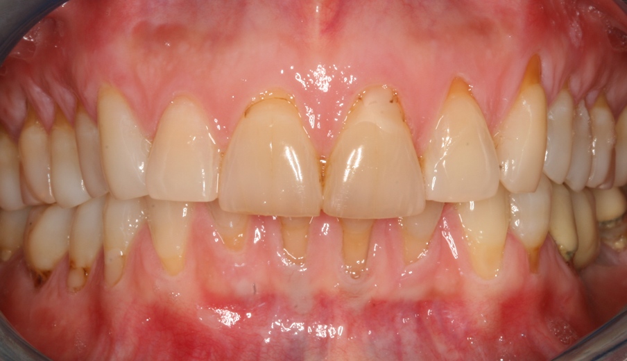
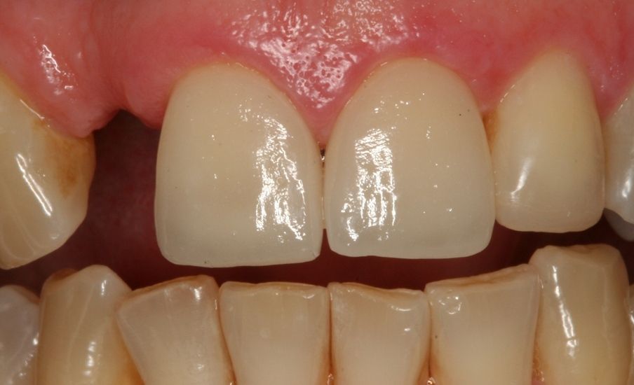
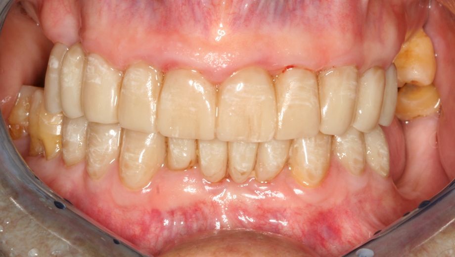
Modifica del sorriso. Denti scuri, ricostruzioni incongrue, linea del sorriso slivellata. Preparazione per faccette, provvisori in composito e faccette definitive.

prima
prima
prima
prima
prima
prima
prima

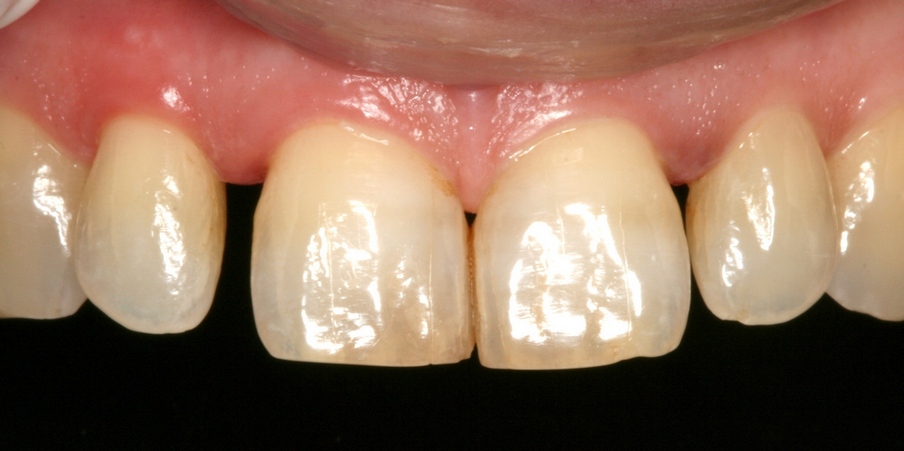
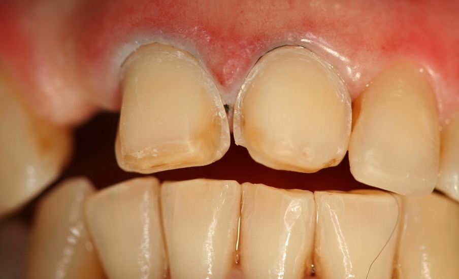
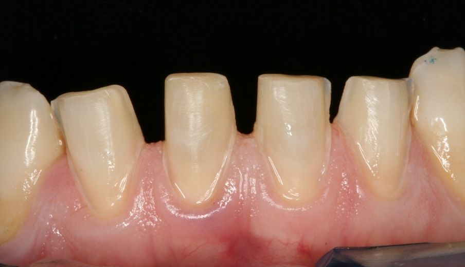
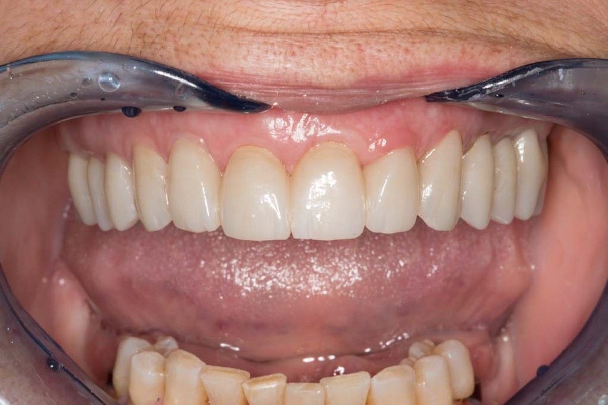
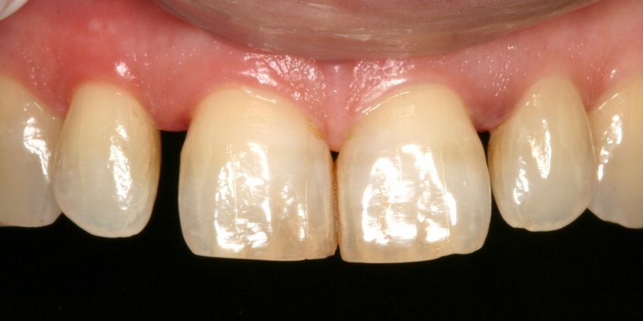
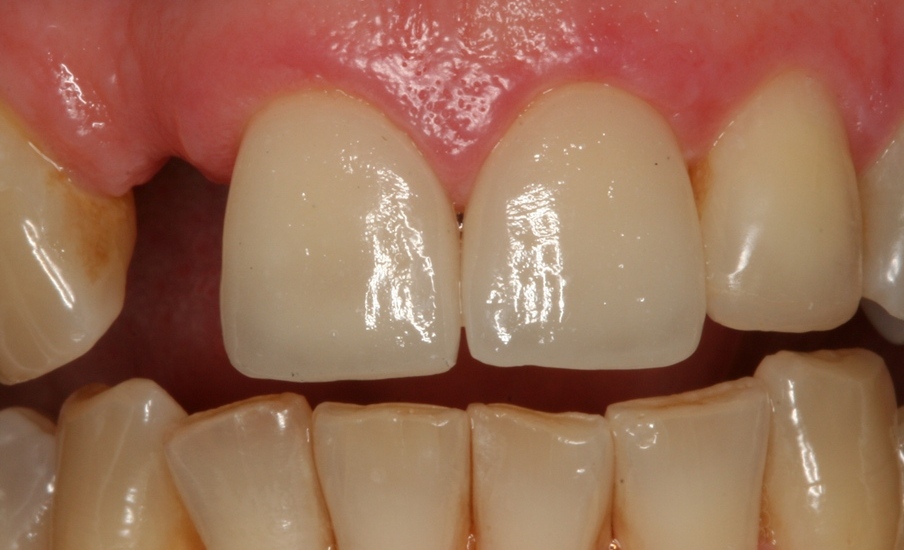
Incisivi centrali superiori fortemente abrasi. Preparazione per due faccette, cementazione sotto diga di gomma e faccette definitive

prima
prima

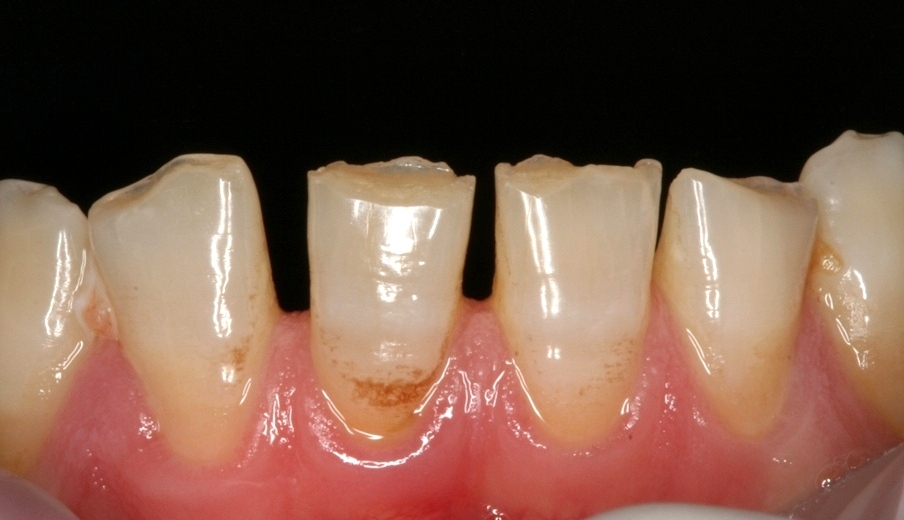
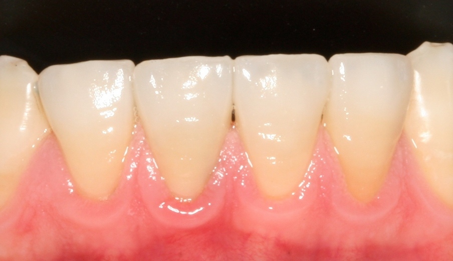
Incisivi inferiori rotti e diastemati. Preparazione, provvisori e quattro faccette definitive


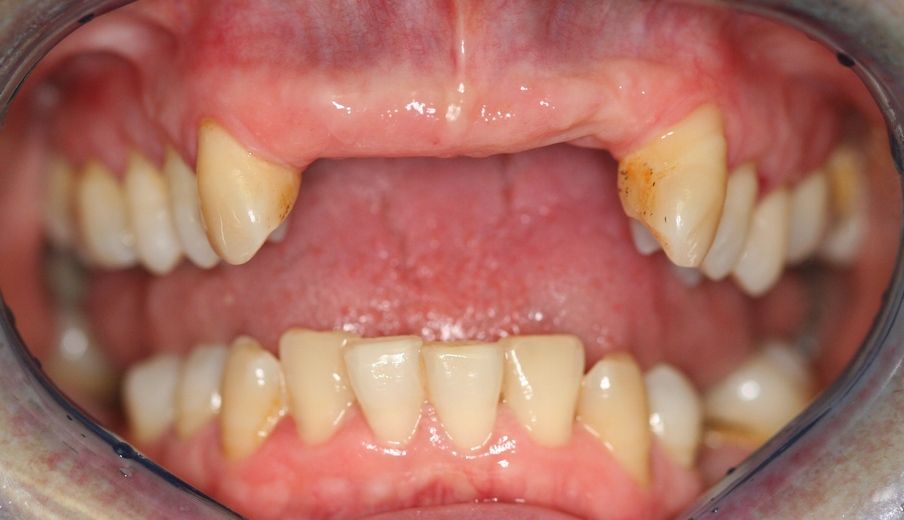
Perdita degli incisivi superiori per trauma pregresso. Progettazione ed esecuzione dell'intervento in chirurgia guidata Nobel Guide. Ponte in zirconio ceramica su monconi implantari

prima
prima

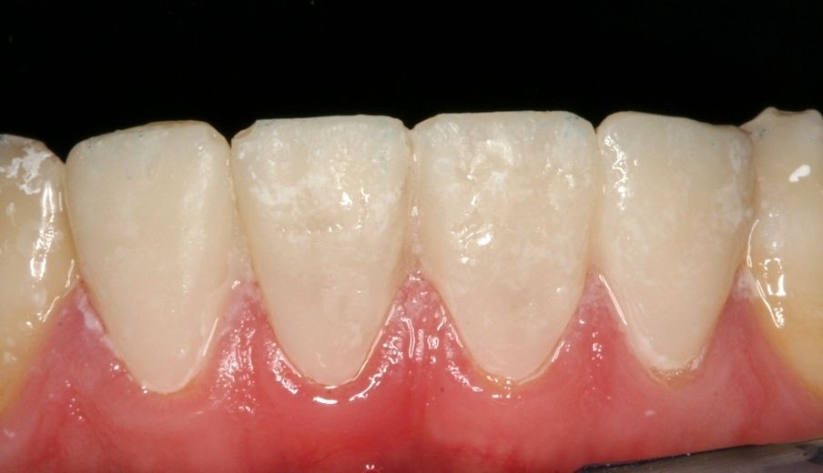
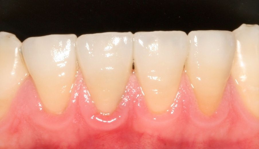
Chiusura dei diastemi in materiale composito


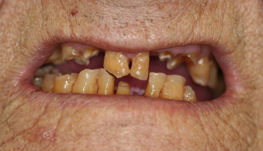
Paziente 92enne, forti abrasioni della dentatura superiore e inferiore. Ricostruzione dei monconi e riabilitazione totale con materiale composito fresato CAD-CAM

prima
prima


I pareri dei nostri pazienti

Alberto Sallustio

Pulizia, innovazione, serietà, aggiornamento e molto altro.
Tutto questo quando si ha esperienza e professionalità, vale denaro!
(diffiderei dai pullmini del sorriso e prezzi troppo vantaggiosi)

Cinzia Lacalamita

Professionalità elevata: risultati eccellenti e forte
empatia con il paziente. Condigliatissimo.

Alessandra Vercon

Ciao a tutti l'altra settimana ho fatto l'intervento del rialzo del seno mascellare. Prima dell'intervento avevo tanta paura, posso dire che l'intervento svolto in due ore è passato molto veloce.
Dopo l'intervento e nei giorni successivi non ho avuto gonfiore e dolore.

Mario Pompilio

Studio Dentistico all'avanguardia, molto seri e disponibili.

Francesco Valletta

Ho fatto fare l'ortodonzia a mia figlia, ora sta benissimo e non fa altro che sorridere. Consigliatissimo!



Studio Dentistico Lagna · Via del Ciclamino 78 - 73100 - Galatina (LE)- Tel: 0836/561077 · Cell: 349/0077889

Iscritto all'Ordine degli Odontoiatri di Lecce © Copyright Studio Dentistico Lagna